
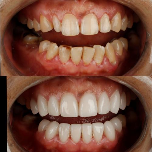
Veneers
Veneers are thin shells made of porcelain or resin that cover the front surface of your teeth. They’re used to improve the appearance of teeth that are discolored, chipped, or misaligned. The process involves removing a small amount of enamel from your teeth, and then custom-made veneers are bonded to your teeth for a natural look.
Duration: The entire process typically takes about 2 to 3 weeks.
Visits: Usually, it involves 2 visits: one for consultation and tooth preparation, and another for bonding the veneers to your teeth.
Showcase