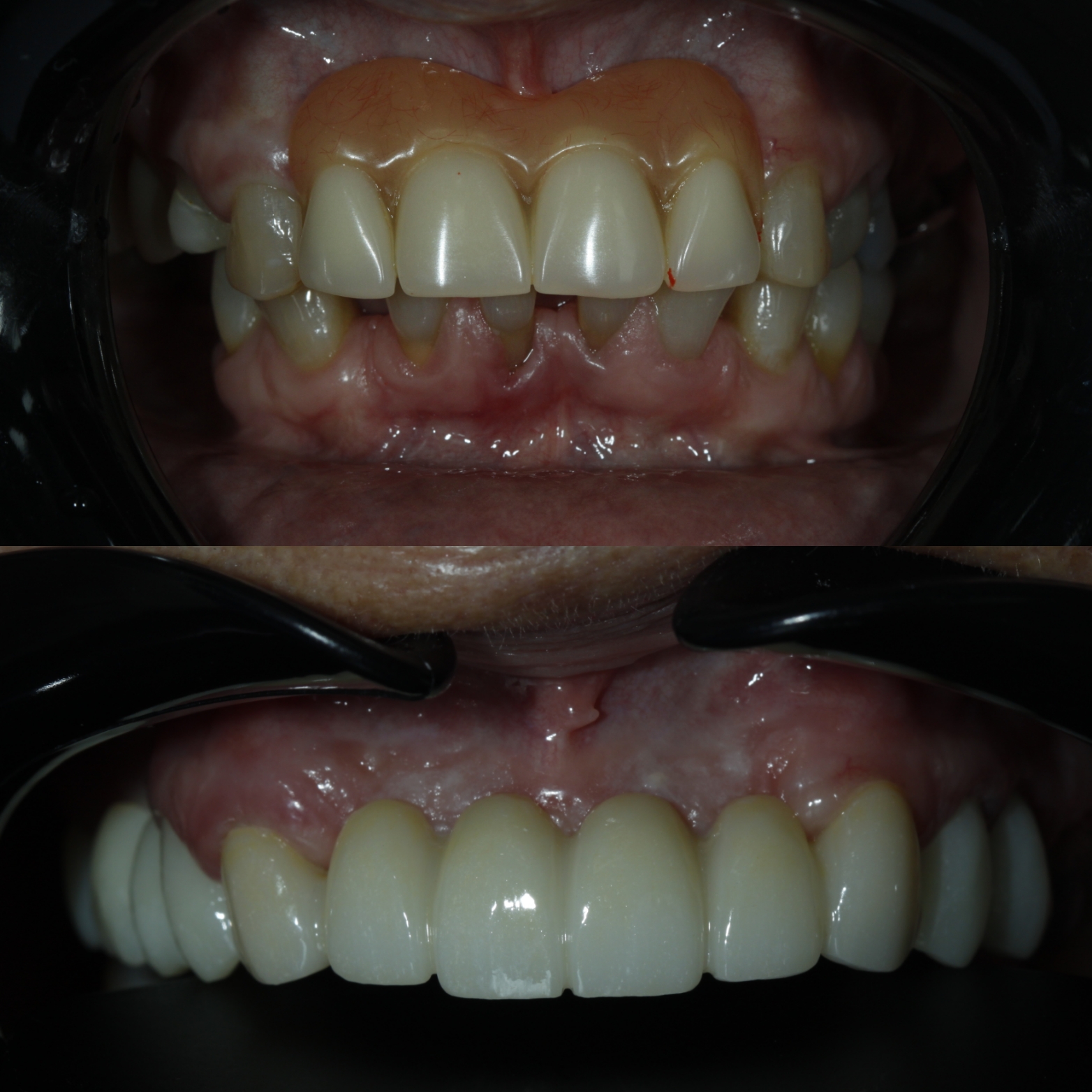
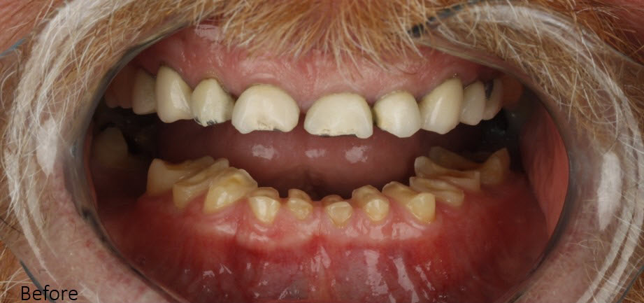
NIS Dental Image is a trusted
dental clinic in the heart of Patong, Phuket
specializing in cosmetic and functional dentistry to create beautiful, natural, and healthy smiles. Founded by Dr. Woranis, a certified prosthodontist with over 15 years of expertise, we are dedicated to transforming smiles with personalized care and attention to detail.
Equipped with advanced digital technology and modern techniques, we provide precise and aesthetically pleasing results while addressing essential oral functions. From veneers and dental implants to full oral rehabilitation and smile makeovers, our treatments are tailored to restore both the appearance and functionality of your teeth.